Zur Schwammer-Übersicht
10.06.2017: Erstklassige Erstfunde
(aber auch Standards) - Teil 1
Liebe Pilz-Freunde,
Heute stand wieder einmal eine Tour in einem Mischwaldgebiet auf dem Programm.
In diesem Gebiet waren wir noch nie. Es gab dort alles, von Hochwaldabschnitten
über Gebüsch-Artige Abschnitte, Laubwald, Nadelwald, Sumpfgebiete und
Fahrspuren. Was wir dort alles erlebten seht Ihr gleich...
Wegen der Menge müssen wir diesen Bericht diesmal auf
3 Teile aufteilen.
Teil 2 findet Ihr hier
Teil 3 findet Ihr hier
Wir schreiben den Bericht wieder zusammen.
Wie immer:
Meine Texte sind schwarz, Matthias' Texte sind grün.
;-)
Meine Bilder sind mit einem schwarzen
☻,
Matthias' Bilder sind mit einem grünen☻gekennzeichnet.
Fundnummer: 2017-06-10-0946
Es ging los, mit dem
Schleimfußhelmling (Roridomyces roridus)
Immer wieder schön anzuschauen!

☻

☻

☻

☻
Fundnummer:
2017-06-10-1009
In einem Buchen-Abschnitt war natürlich wieder das
Gemeine
Jungfern-Weißhaarbecherchen (Lachnum virgineum) anzutreffen:

☻
Fundnummer: 2017-06-10-1016
Das
Gelbe Madenspor-Knopfbecherchen (Orbilia xanthostigma):
'
☻
Fundnummer: 2017-06-10-1026
Duch Thorbens Berichte über die Insektenparasiten war ich
stark angespornt diesen Fund einmal genauer zu untersuchen, zumal es
offensichtlich keine Fliege war, die hier befallen ist.
In seinen Berichten fand ich dann auch einen möglichen Kandidaten für die Art:
Erynia ovispora, hier stimmen die Mikromerkmale sehr gut mit den von mir
festgestellten überein. Weitere Literatur zu dieser Gattung habe ich leider
nicht, diese werde ich mir aber zeitnah per Fernleihe besorgen.
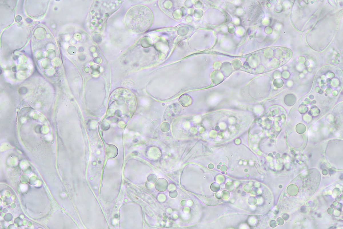
Sehr auffällig bei diesem Fund die riesigen Zystiden, die bis über 200µm aus den
zahllosen Konidienträger hervorragen und makroskopisch das fransige
Erscheinungsbild erzeugen.
Die Konidien messen 26-33 x 12,5-14µm, wobei ich nur die gemessen habe, die
bereits vollständig abgeschnürt, also frei herumschwimmend waren.
Der Fund wurde hier im Forum diskutiert:
https://www.pilzforum.eu/board/thread/36863-die-göttin-der-rache/
Über Thorben
bekamen wir von Dr. Siegfried Keller die Antwort:
Ich habe die Fotos (sehr gute Qualität!) angesehen. Mit der Zuordnung zur
Gattung Erynia bin ich einverstanden, jedoch nicht mit der Zuordnung zu E.
ovispora. Die vorhandenen Daten lassen keine Bestimmung zu.
Es gibt in der Gattung Erynia einige Arten, die bezüglich Konidienform und
Konidiengrösse einander sehr ähnlich sind. Darunter gibt es Arten, die vor mehr
als hundert Jahren beschrieben wurden, leider oft nur sehr rudimentär. Auch ist
nicht auszuschliessen, dass der vorgestellte Pilz noch gar nicht bechrieben ist.
Wichtig ist, alle vorhandenen Pilzstrukturen zu erfassen und zu beschreiben, und
dies nach Möglichkeit von mehreren Wirten. Deshalb: Viel Glück bei der Suche
nach weiteren Opfern.
Falls ihr an eine spätere Identifizierung denkt, dann gebt die sporulierenden
Kadaver in 70% Aethanol in möglichst kleinen Probenröhrchen (so wie sie z.B. in
der Molekularbiologie verwendet werden).
Viel Erfolg und herzliche Grüsse
Siegfried
Es bleibt also bei einer unbestimmten
Rachegöttin (Erynia
spec.) auf Gemeiner
Fenstermücke (Sylvicola fenestralis):

☻

☻

☻

☻

☻

☻

☻
Die Pseudozystiden:

☻

☻

☻

☻

☻

☻

☻

☻

☻

☻

☻

☻

☻
Fundnummer:
2017-06-10-1046
Ein
Büschelschleimpilz (Stemonitis axifera):

☻

☻
Weiter zum Teil 2